Ограничен достъп

Тази функция е активна само след вписване с имейл и парола.

Регистрация Вход
Skip to main content
Патогенеза на идиопатична белодробна фиброза (ИБФ)
Патогенеза

Съвременните патогенетични теории предполагат, че възпалението не е ключов фактор в развитието на ИБФ. 1,2

Въпреки че механизмите на ИБФ не са напълно изяснени, смята се, че развитието ѝ преминава през следните стадии - първоначално увреждане на епитела, което се повтаря месеци и години, последвано от абнормно и непълно възстановяване, което от своя страна води до прогресия на тъканната увреда и фиброзни промени в белия дроб.1,2

Така ИБФ може да възникне от повтарящи се микро-травми, акумулиране на извънклетъчен матрикс и непълно възстановяване, водещо до фиброза при наличие на слабо възпаление. Разрушаването на белодробната архитектура нарушава газообмена и води до хипоксична дихателна недостатъчност, отличителен белег на напреднало заболяване.2

Патогенеза на идиопатичната белодробна фиброза 8

Първоначално увреждане на епитела3

1. Травма на алвеоларните епителни клетки

2. Започване на нормални възстановителни процеси

3. Освобождаване на про-фибротични медиатори в алвеоларния лумен

4. Тромбообразуване на мястото на нараняването

Абнормен възстановителен отговор при ИБФ3

1. Навлизане и пролиферация на фибробластите и  поява на отличителни миофибробласти

2. Нарушеният баланс между анти- и про-фибротичните медиатори стимулира прогресивното образуване на фиброзна тъкан

3. Характерно задебеляване на алвеоларните стени и колапс на нормалната белодробна структура (пчелна пита)

Прогресираща фиброза при ИБФ3

1. Миофибробластите се организират в агломерации, известни като фибробластни огнища
Съединително-тъканният матрикс се натрупва и фиброзата става видима

2. Базалната епителна мембрана е необратимо увредена и газообменът между алвеолите и заобикалящите ги кръвоносни съдове е постоянно нарушен

Медиатори на фиброзата при ИБФ4

 IL: интерлевкин; PDGF: освобождаван от тромбоцитите растежен фактор; PGE-2: простагландин E2; TGF: трансформиращ растежен фактор

TGF-β като ключов медиатор в патогенезата на ИБФ

TGF-β е ключов елемент както за физиологичното, така и за патологичното зарастване на рани и е една от основните сигнални молекули, участващи във фиброзните процеси. TGF-β се секретира в латентна форма от различни клетъчни типове, включително епителни, фибробластни и имунни клетки. След секрецията му, определени молекули го активират, позволявайки му да се свърже със специфични рецептори на таргетните клетки. С това се задейства фиброзна сигнална каскада.6

При ИБФ TGF-β се експресира основно от алвеоларни епителни клетки и алвеоларни макрофаги, като експресията му е локализирана във фибробластните огнища. Данни от scRNA-seq анализи показват, че сигналният път на TGF-β е един от най-регулираните в аберантните епителни клетки, подчертавайки неговата роля в развитието на заболяването.6

TGF-β е свързан със следните патологични процеси при ИБФ5

  • Апоптоза на епителни клетки
  • Епително-мезенхимна замяна
  • Миграция на епителни клетки
  • Синтеза на колаген и актинови филаменти
  • Дедиференциация на фибробласти
  • Пролиферация на фибробласти
  • Промотира синтеза на фибробластен извънклетъчен матрикс
  • Фибробластна-миофибробластна замяна
  • Допринася за про-ангиогенната среда
  • Промотира произвеждането на реактивни кислородни радикали (ROS)

В експериментални модели, свръхекспресията на TGF-β води до персистираща белодробна фиброза.

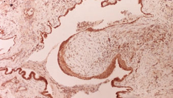
TGF-β рецептори се експресират във фибробластните огнища при ИБФ

TGF-β рецептори се експресират във фибробластните огнища при ИБФ

TGF-β: трансформиращ растежен фактор бета

TGF-β сигнализация е налична във фибробластните огнища при ИБФ
Хипоксия-индуциран фактор (HIF) и епителна дисфункция7

Хипоксията е често срещана характеристика на фиброзните заболявания. Тя активира хипоксия-индуцируеми фактори (HIF) - транскрипционни фактори, които регулират генната експресия в отговор на понижените нива на кислород. От трите изоформи (HIF-1, HIF-2 и HIF-3), HIF-1α и HIF-2α са особено важни за прогресията на фиброзата.7

Повишените нива на HIF-1α и HIF-2α във фибробластите и белодробната тъкан на пациенти с ИБФ стимулират диференциацията на миофибробластите и засилват експресията на фиброза-свързани протеини. HIF-1α регулира VEGF и p53 гените, които са свързани с фиброзата. В същото време нивата на HIF-3α намаляват, вероятно поради хиперметилиране, което нарушава нормалното сигнализиране при хипоксия. Хипоксията и TGF-β действат синергично в регулацията на специфични РНК молекули, свързани с фиброзата, допринасяйки за развитието на заболяването.7

Референции:

1. Richeldi, Luca, Harold R. Collard, and Mark G. Jones. "Idiopathic Pulmonary Fibrosis." The Lancet 389.10082 (2017): 1941-52
2. Krishna, Rachana, Kyle Chapman, and Saad Ullah. "Idiopathic Pulmonary Fibrosis."  StatPearls Publishing, Treasure Island (FL), 2023.
3. Адаптирано от Selman M и King TE, Pardo A. Ann Intern Med 2001;134:136-151.
4. Адаптирано от Mason R. Am J Respir Crit Care Med 1999;160:1771-1777
5. Hadjicharalambous, Marina R., and Mark A. Lindsay. "Idiopathic Pulmonary Fibrosis: Pathogenesis and the Emerging Role of Long Non-Coding Rnas." International Journal of Molecular Sciences 21.2 (2020): 524.
6. Moss BJ, Ryter SW, Rosas IO. Pathogenic Mechanisms Underlying Idiopathic Pulmonary Fibrosis. Annu Rev Pathol. 2022 Jan 24;17:515-546. doi: 10.1146/annurev-pathol-042320-030240. Epub 2021 Nov 23. PMID: 34813355. 
7. Phan THG, Paliogiannis P, Nasrallah GK, Giordo R, Eid AH, Fois AG, Zinellu A, Mangoni AA, Pintus G. Emerging cellular and molecular determinants of idiopathic pulmonary fibrosis. Cell Mol Life Sci. 2021 Mar;78(5):2031-2057. doi: 10.1007/s00018-020-03693-7. Epub 2020 Nov 17. PMID: 33201251; PMCID: PMC7669490.
8. Muri J, Durcová B, Slivka R, Vrbenská A, Makovická M, Makovický P, Škarda J, Delongová P, Kamarád V, Vecanová J. Idiopathic Pulmonary Fibrosis: Review of Current Knowledge. Physiol Res. 2024 Aug 31;73(4):487-497. doi: 10.33549/physiolres.935322. PMID: 39264073; PMCID: PMC11414582.

Вие сте медицински специалист? 

Регистрирайте се и разберете повече за нашите продукти!

Вие сте медицински специалист? 

Регистрирайте се и разберете повече за нашите продукти!

Вие сте медицински специалист? 

Регистрирайте се и разберете повече за нашите продукти!

Вие сте медицински специалист? 

Регистрирайте се и разберете повече за нашите продукти!

Нашите уебсайтове съдържат линкове към други уебсайтове, които може да дадат полезна информация на нашите посетители. Hoffmann-La Roche Inc. ("Roche") не носи отговорност за съдържанието на тези сайтове. Рош не контролира тези сайтове и каквито и да било последствия от използването им - коментари, оплаквания и опит - трябва да бъдат насочени към собствениците на сайтовете.